Vivadent- Dental Care
Specialized and routine dental treatments Online
Since 2011


Consult Now...
Trusted Since 2011
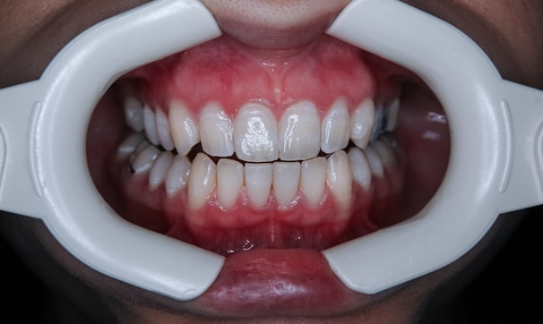
Welcome to our Dental Clinic, where we are committed to providing high-quality dental care in a safe and comfortable environment. Our clinic offers a wide range of dental services to help patients maintain healthy teeth and a confident smile.
The clinic uses modern equipment and explains the treatment clearly before starting the procedure
Webman
"
Our Divisions
Dental Treatment
Filling, Root canals, extractions & many more
X-Ray
X-ray Facility also available
Cleaning
Proper Cleaning of teeth
Since 2011
Services
Sort by :
RCT
₹------
Default ^
Filling
₹------
X-Ray
₹------
Cleaning
₹------
Braces
₹------

desgined by WebMan
Let us grow
your business
into a BRAND !
Contact US
© 2025. All rights reserved.
Terms & conditions








Custom Design
Marketing
on demand
creative features
Development
Uniquely crafted for your business
more customers are waiting for you
e - Commerce
connecting your business
with peoples

